
Weniger Muskelschmerzen durch Piceatannol
Wenn Sie dieser Website ein wenig folgen, dann wird es Ihnen nicht entgangen sein, dass wir Reveratrol Metabolit Piceatannol plötzlich sehr interessant finden.
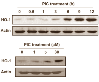
Wenn Sie Reagenzglas Studien Glauben schenken, hemmt es das Wachstum von Fettgewebe und stimuliert Muskelgewebe und erhöht auch die Produktion von EPO. Und nach einer In vitro-Studie von Forschern an der Seoul National University in Korea erhöht Piceatannol auch weiter die Produktion von Hämoxygenase-1 [HO-1], ein Enzym, das die Muskeln der Athleten gegen Muskelabbau und Muskelschmerzen schützt.
Sie können verhindern, dass schwere Trainingseinheiten Ihnen mörderische Muskelschmerzen und erhebliche Muskelschäden bereiten, indem Sie mit einem leichten Training anfangen bevor Sie zu der realen Sache übergehen. Das leichte Training aktiviert in Ihren Muskelzellen das Enzym Hämoxygenase-1. Daher kommt unser Interesse an der koreanischen Studie.
Die Koreaner entdeckten die Wirkung von Piceatannol auf Hämoxygenase-1 auf einer Strecke von Versuchen mit MCF10A Zellen. Das sind keine Muskelzellen, sondern Epithelzellen vom Brustgewebe.
Die Forscher sahen, dass Piceatannol [pic] im Erbgut der Zellen für stärkere Signale von dem Botenstoff Nrf2 sorgt. Durch Nrf2 erhöht Piceatannol offensichtlich die Aktivität des schützenden Hämoxygenase-1.
Hämoxygenase-1 aktiviert das Antioxidant Response-Element in der DNA der Zellen. Exposition von Piceatannol wechselte das Antioxidant Response Element über Nrf2, entdeckten die Koreaner. Als die Forscher Nrf2 mit SiRNA blockierten, dann passierte das nicht.


Nrf2 kann Zellen überzeugen mehr schützende Verbindungen zu machen, das steht in den Lehrbüchern. Außer Hämoxygenase-1 sollte man auch an NQO1, GCLC, GCLM, Glutathion, Glutathion-S-Transferase und UDP-Glucuronosyl-Transferase denken. Sportwissenschaftler haben bereits eine kleine Bibliothek von Studien geschrieben, wie man mit einer erhöhten Aktivität von Enzymen Muskelschäden verringert und vor allem die Leistung verbessert.
Piceatannol und Resveratrol
Resveratrol hat die schönen Effekte von Piceatannol wahrscheinlich in geringerem Maße.
Catechine, die Piceatannol haben, aber kein Reservatrol, sind für die Wirkung erforderlich, schlagen die Koreaner vor. Piceatannol dieser Gruppe kann mit einem anderen Molekül interagieren: KEAP 1. In der Zelle unterdrückt KEAP 1 Nrf2 Aktivierung. Da Piceatannol KEAP 1 angreift, wird Nrf2 frei.

Gutes Zeug, das Piceatannol. Bald mehr.
